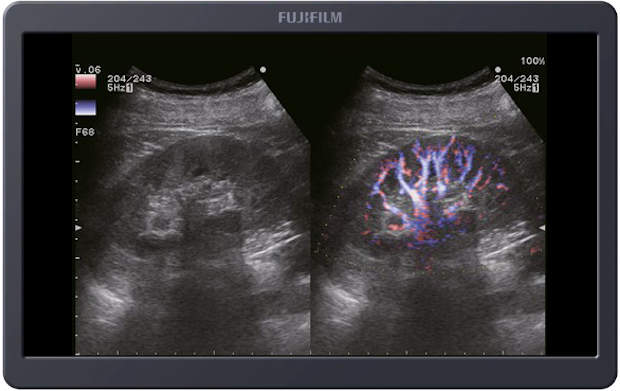
eFLOW - obrazowanie przepływu krwi o wysokiej rozdzielczości

eFLOW jest trybem obrazowania przepływu krwi o wysokiej rozdzielczości przestrzennej i czasowej. W eFLOW możliwe jest wyświetlanie informacji o przepływie krwi z wyższą czułością i rozdzielczością niż w przypadku klasycznych technik. Tryb ten umożliwia szczegółową obserwację drobnych naczyń krwionośnych, na przykład tych wewnątrz guza, które trudno byłoby wyświetlić osobno w trybach standardowych.

eFLOW ma zdolność rozdzielczą umożliwiającą osobne wyświetlenie tętnicy wątrobowej biegnącej obok żyły wrotnej. W konwencjonalnych metodach Color Doppler czy Power Doppler rozdzielczość przestrzenna jest niska. Powoduje to, że czasami z powodu artefaktu rozlewania się (tzw. blooming) naczynia krwionośne są wyświetlane jako grubsze niż w rzeczywistości.

eFLOW jest trybem obrazowania przepływu krwi o wysokiej rozdzielczości przestrzennej i czasowej

Trudno byłoby odróżnić dwa cienkie naczynia krwionośne biegnące równolegle.
Dzięki poszerzeniu pasma przenoszenia nadajnik/odbiornik oraz zastosowaniu metody przetwarzania przeglądowego w eFLOW uzyskano nowy sposób obrazowania przepływu krwi. Charakteryzuje się on wysoką rozdzielczością przestrzenną i czasową. Co więcej, opisywany tryb obrazowania redukuje tłumienie sygnału przepływu krwi w każdym procesie przetwarzania danych. eFLOW usprawnia przetwarzanie w celu odróżnienia przepływu krwi od ruchu tkanki i umożliwia wyświetlanie drobnych naczyń krwionośnych wraz z kierunkiem przepływu, co jest przydatne klinicznie.

Technologie FujiFilm

Dziś medycyna może więcej z rozwiązaniami FujiFilm. Sprawdź!

Artykuł główny

Planujesz zakup aparatu USG?

Skorzystaj z 20 lat doświadczeń MIRO

Wpisz imię i nazwisko
Wpisz adres e-mail
Wpisz numer telefonu
Zgoda na przetwarzanie danych osobowych

Wyrażam zgodę na przetwarzanie moich danych osobowych w celu otrzymywania informacji handlowych od MIRO sp. z o.o. z siedzibą w Warszawie z wykorzystaniem telekomunikacyjnych urządzeń końcowych (m.in. telefon) oraz środków komunikacji elektronicznej (w szczególności SMS, e-mail) oraz oświadczam, że Administrator wywiązał się wobec mnie z obowiązku informacyjnego. Przyjmuję do wiadomości, że w każdej chwili mogę cofnąć udzieloną zgodę.

Szukasz sprzętu medycznego?

Prześlij do nas zapytanie, a nasi doradcy pomogą Ci w wyborze i zarekomendują profesjonalny oraz sprawdzony sprzęt medyczny.

  • Wpisz nazwę miasta
  • Bardo
  • Bielawa
  • Bierutów
  • Bogatynia
  • Boguszów-Gorce
  • Bolesławiec
  • Bolków
  • Brzeg Dolny
  • Bystrzyca Kłodzka
  • Chocianów
  • Chojnów
  • Duszniki-Zdrój
  • Dzierżoniów
  • Głogów
  • Głuszyca
  • Góra
  • Gryfów Śląski
  • Jawor
  • Jaworzyna Śląska
  • Jedlina-Zdrój
  • Jelcz-Laskowice
  • Jelenia Góra
  • Kamienna Góra
  • Karpacz
  • Kąty Wrocławskie
  • Kłodzko
  • Kowary
  • Kudowa-Zdrój
  • Lądek-Zdrój
  • Legnica
  • Leśna
  • Lubań
  • Lubawka
  • Lubin
  • Lubomierz
  • Lwówek Śląski
  • Mieroszów
  • Międzybórz
  • Międzylesie
  • Milicz
  • Mirsk
  • Niemcza
  • Nowa Ruda
  • Nowogrodziec
  • Oborniki Śląskie
  • Oleśnica
  • Olszyna
  • Oława
  • Piechowice
  • Pieńsk
  • Pieszyce
  • Piława Górna
  • Polanica-Zdrój
  • Polkowice
  • Prochowice
  • Prusice
  • Przemków
  • Radków
  • Siechnice
  • Sobótka
  • Stronie Śląskie
  • Strzegom
  • Strzelin
  • Syców
  • Szczawno-Zdrój
  • Szczytna
  • Szklarska Poręba
  • Ścinawa
  • Środa Śląska
  • Świdnica
  • Świebodzice
  • Świeradów-Zdrój
  • Świerzawa
  • Trzebnica
  • Twardogóra
  • Wałbrzych
  • Wąsosz
  • Węgliniec
  • Wiązów
  • Wleń
  • Wojcieszów
  • Wołów
  • Wrocław
  • Zawidów
  • Ząbkowice Śląskie
  • Zgorzelec
  • Ziębice
  • Złotoryja
  • Złoty Stok
  • Żarów
  • Żmigród
  • Aleksandrów Kujawski
  • Barcin
  • Brodnica
  • Brześć Kujawski
  • Bydgoszcz
  • Chełmno
  • Chełmża
  • Chodecz
  • Ciechocinek
  • Dobrzyń nad Wisłą
  • Gniewkowo
  • Golub-Dobrzyń
  • Górzno
  • Grudziądz
  • Inowrocław
  • Izbica Kujawska
  • Jabłonowo Pomorskie
  • Janikowo
  • Janowiec Wielkopolski
  • Kamień Krajeński
  • Kcynia
  • Koronowo
  • Kowal
  • Kowalewo Pomorskie
  • Kruszwica
  • Lipno
  • Lubień Kujawski
  • Lubraniec
  • Łabiszyn
  • Łasin
  • Mogilno
  • Mrocza
  • Nakło nad Notecią
  • Nieszawa
  • Nowe
  • Pakość
  • Piotrków Kujawski
  • Radziejów
  • Radzyń Chełmiński
  • Rypin
  • Sępólno Krajeńskie
  • Skępe
  • Solec Kujawski
  • Strzelno
  • Szubin
  • Świecie
  • Toruń
  • Tuchola
  • Wąbrzeźno
  • Więcbork
  • Włocławek
  • Żnin
  • Annopol
  • Bełżyce
  • Biała Podlaska
  • Biłgoraj
  • Bychawa
  • Chełm
  • Dęblin
  • Frampol
  • Hrubieszów
  • Janów Lubelski
  • Kazimierz Dolny
  • Kock
  • Krasnobród
  • Krasnystaw
  • Kraśnik
  • Lubartów
  • Lublin
  • Łęczna
  • Łuków
  • Międzyrzec Podlaski
  • Nałęczów
  • Opole Lubelskie
  • Ostrów Lubelski
  • Parczew
  • Piaski
  • Poniatowa
  • Puławy
  • Radzyń Podlaski
  • Rejowiec Fabryczny
  • Ryki
  • Stoczek Łukowski
  • Szczebrzeszyn
  • Świdnik
  • Tarnogród
  • Terespol
  • Tomaszów Lubelski
  • Tyszowce
  • Włodawa
  • Zamość
  • Zwierzyniec
  • Babimost
  • Bytom Odrzański
  • Cybinka
  • Czerwieńsk
  • Dobiegniew
  • Drezdenko
  • Gorzów Wielkopolski
  • Gozdnica
  • Gubin
  • Iłowa
  • Jasień
  • Kargowa
  • Kostrzyn nad Odrą
  • Kożuchów
  • Krosno Odrzańskie
  • Lubniewice
  • Lubsko
  • Łęknica
  • Małomice
  • Międzyrzecz
  • Nowa Sól
  • Nowe Miasteczko
  • Nowogród Bobrzański
  • Ośno Lubuskie
  • Rzepin
  • Skwierzyna
  • Sława
  • Słubice
  • Strzelce Krajeńskie
  • Sulechów
  • Sulęcin
  • Szlichtyngowa
  • Szprotawa
  • Świebodzin
  • Torzym
  • Trzciel
  • Witnica
  • Wschowa
  • Zbąszynek
  • Zielona Góra
  • Żagań
  • Żary
  • Aleksandrów Łódzki
  • Bełchatów
  • Biała Rawska
  • Błaszki
  • Brzeziny
  • Drzewica
  • Działoszyn
  • Głowno
  • Kamieńsk
  • Koluszki
  • Konstantynów Łódzki
  • Krośniewice
  • Kutno
  • Łask
  • Łęczyca
  • Łowicz
  • Łódź
  • Opoczno
  • Ozorków
  • Pabianice
  • Pajęczno
  • Piotrków Trybunalski
  • Poddębice
  • Przedbórz
  • Radomsko
  • Rawa Mazowiecka
  • Rzgów
  • Sieradz
  • Skierniewice
  • Stryków
  • Sulejów
  • Szadek
  • Tomaszów Mazowiecki
  • Tuszyn
  • Uniejów
  • Warta
  • Wieluń
  • Wieruszów
  • Wolbórz
  • Zduńska Wola
  • Zelów
  • Zgierz
  • Złoczew
  • Żychlin
  • Alwernia
  • Andrychów
  • Biecz
  • Bobowa
  • Bochnia
  • Brzesko
  • Brzeszcze
  • Bukowno
  • Chełmek
  • Chrzanów
  • Ciężkowice
  • Czchów
  • Dąbrowa Tarnowska
  • Dobczyce
  • Gorlice
  • Grybów
  • Jordanów
  • Kalwaria Zebrzydowska
  • Kęty
  • Kraków
  • Krynica-Zdrój
  • Krzeszowice
  • Libiąż
  • Limanowa
  • Maków Podhalański
  • Miechów
  • Mszana Dolna
  • Muszyna
  • Myślenice
  • Niepołomice
  • Nowy Sącz
  • Nowy Targ
  • Nowy Wiśnicz
  • Olkusz
  • Oświęcim
  • Piwniczna-Zdrój
  • Proszowice
  • Rabka-Zdrój
  • Ryglice
  • Skała
  • Skawina
  • Słomniki
  • Stary Sącz
  • Sucha Beskidzka
  • Sułkowice
  • Szczawnica
  • Szczucin
  • Świątniki Górne
  • Tarnów
  • Trzebinia
  • Tuchów
  • Wadowice
  • Wieliczka
  • Wojnicz
  • Wolbrom
  • Zakliczyn
  • Zakopane
  • Zator
  • Żabno
  • Białobrzegi
  • Bieżuń
  • Błonie
  • Brok
  • Brwinów
  • Chorzele
  • Ciechanów
  • Drobin
  • Garwolin
  • Gąbin
  • Glinojeck
  • Gostynin
  • Góra Kalwaria
  • Grodzisk Mazowiecki
  • Grójec
  • Halinów
  • Iłża
  • Józefów
  • Kałuszyn
  • Karczew
  • Kobyłka
  • Konstancin-Jeziorna
  • Kosów Lacki
  • Kozienice
  • Legionowo
  • Lipsko
  • Łaskarzew
  • Łochów
  • Łomianki
  • Łosice
  • Maków Mazowiecki
  • Marki
  • Milanówek
  • Mińsk Mazowiecki
  • Mława
  • Mogielnica
  • Mordy
  • Mszczonów
  • Myszyniec
  • Nasielsk
  • Nowe Miasto nad Pilicą
  • Nowy Dwór Mazowiecki
  • Ostrołęka
  • Ostrów Mazowiecka
  • Otwock
  • Ożarów Mazowiecki
  • Piaseczno
  • Piastów
  • Pilawa
  • Pionki
  • Płock
  • Płońsk
  • Podkowa Leśna
  • Pruszków
  • Przasnysz
  • Przysucha
  • Pułtusk
  • Raciąż
  • Radom
  • Radzymin
  • Różan
  • Serock
  • Siedlce
  • Sierpc
  • Skaryszew
  • Sochaczew
  • Sokołów Podlaski
  • Sulejówek
  • Szydłowiec
  • Tarczyn
  • Tłuszcz
  • Warka
  • Warszawa
  • Węgrów
  • Wołomin
  • Wyszków
  • Wyszogród
  • Wyśmierzyce
  • Zakroczym
  • Ząbki
  • Zielonka
  • Zwoleń
  • Żelechów
  • Żuromin
  • Żyrardów
  • Baborów
  • Biała
  • Brzeg
  • Byczyna
  • Dobrodzień
  • Głogówek
  • Głubczyce
  • Głuchołazy
  • Gogolin
  • Gorzów Śląski
  • Grodków
  • Kędzierzyn-Koźle
  • Kietrz
  • Kluczbork
  • Kolonowskie
  • Korfantów
  • Krapkowice
  • Leśnica
  • Lewin Brzeski
  • Namysłów
  • Niemodlin
  • Nysa
  • Olesno
  • Opole
  • Otmuchów
  • Ozimek
  • Paczków
  • Praszka
  • Prószków
  • Prudnik
  • Strzelce Opolskie
  • Ujazd
  • Wołczyn
  • Zawadzkie
  • Zdzieszowice
  • Baranów Sandomierski
  • Błażowa
  • Boguchwała
  • Brzostek
  • Brzozów
  • Cieszanów
  • Dębica
  • Dukla
  • Dynów
  • Głogów Małopolski
  • Iwonicz-Zdrój
  • Jarosław
  • Jasło
  • Jedlicze
  • Kańczuga
  • Kolbuszowa
  • Krosno
  • Lesko
  • Leżajsk
  • Lubaczów
  • Łańcut
  • Mielec
  • Narol
  • Nisko
  • Nowa Dęba
  • Nowa Sarzyna
  • Oleszyce
  • Pilzno
  • Przemyśl
  • Przeworsk
  • Radomyśl Wielki
  • Radymno
  • Ropczyce
  • Rudnik nad Sanem
  • Rymanów
  • Rzeszów
  • Sanok
  • Sędziszów Małopolski
  • Sieniawa
  • Sokołów Małopolski
  • Stalowa Wola
  • Strzyżów
  • Tarnobrzeg
  • Tyczyn
  • Ulanów
  • Ustrzyki Dolne
  • Zagórz
  • Augustów
  • Białystok
  • Bielsk Podlaski
  • Brańsk
  • Choroszcz
  • Ciechanowiec
  • Czarna Białostocka
  • Dąbrowa Białostocka
  • Drohiczyn
  • Goniądz
  • Grajewo
  • Hajnówka
  • Jedwabne
  • Kleszczele
  • Knyszyn
  • Kolno
  • Krynki
  • Lipsk
  • Łapy
  • Łomża
  • Michałowo
  • Mońki
  • Nowogród
  • Rajgród
  • Sejny
  • Siemiatycze
  • Sokółka
  • Stawiski
  • Suchowola
  • Supraśl
  • Suraż
  • Suwałki
  • Szczuczyn
  • Tykocin
  • Wasilków
  • Wysokie Mazowieckie
  • Zabłudów
  • Zambrów
  • Brusy
  • Bytów
  • Chojnice
  • Czarna Woda
  • Czarne
  • Czersk
  • Człuchów
  • Debrzno
  • Dzierzgoń
  • Gdańsk
  • Gdynia
  • Gniew
  • Hel
  • Jastarnia
  • Kartuzy
  • Kępice
  • Kościerzyna
  • Krynica Morska
  • Kwidzyn
  • Lębork
  • Łeba
  • Malbork
  • Miastko
  • Nowy Dwór Gdański
  • Nowy Staw
  • Pelplin
  • Prabuty
  • Pruszcz Gdański
  • Puck
  • Reda
  • Rumia
  • Skarszewy
  • Skórcz
  • Słupsk
  • Sopot
  • Starogard Gdański
  • Sztum
  • Tczew
  • Ustka
  • Wejherowo
  • Władysławowo
  • Żukowo
  • Będzin
  • Bielsko-Biała
  • Bieruń
  • Blachownia
  • Bytom
  • Chorzów
  • Cieszyn
  • Czechowice-Dziedzice
  • Czeladź
  • Czerwionka-Leszczyny
  • Częstochowa
  • Dąbrowa Górnicza
  • Gliwice
  • Imielin
  • Jastrzębie-Zdrój
  • Jaworzno
  • Kalety
  • Katowice
  • Kłobuck
  • Knurów
  • Koniecpol
  • Koziegłowy
  • Krzanowice
  • Krzepice
  • Kuźnia Raciborska
  • Lędziny
  • Lubliniec
  • Łaziska Górne
  • Łazy
  • Miasteczko Śląskie
  • Mikołów
  • Mysłowice
  • Myszków
  • Ogrodzieniec
  • Orzesze
  • Piekary Śląskie
  • Pilica
  • Poręba
  • Pszczyna
  • Pszów
  • Pyskowice
  • Racibórz
  • Radlin
  • Radzionków
  • Ruda Śląska
  • Rybnik
  • Rydułtowy
  • Siemianowice Śląskie
  • Siewierz
  • Skoczów
  • Sławków
  • Sosnowiec
  • Sośnicowice
  • Strumień
  • Szczekociny
  • Szczyrk
  • Świętochłowice
  • Tarnowskie Góry
  • Toszek
  • Tychy
  • Ustroń
  • Wilamowice
  • Wisła
  • Wodzisław Śląski
  • Wojkowice
  • Woźniki
  • Zabrze
  • Zawiercie
  • Żarki
  • Żory
  • Żywiec
  • Bodzentyn
  • Busko-Zdrój
  • Chęciny
  • Chmielnik
  • Ćmielów
  • Daleszyce
  • Działoszyce
  • Jędrzejów
  • Kazimierza Wielka
  • Kielce
  • Końskie
  • Koprzywnica
  • Kunów
  • Małogoszcz
  • Opatów
  • Osiek
  • Ostrowiec Świętokrzyski
  • Ożarów
  • Pińczów
  • Połaniec
  • Sandomierz
  • Sędziszów
  • Skalbmierz
  • Skarżysko-Kamienna
  • Starachowice
  • Staszów
  • Stąporków
  • Suchedniów
  • Wąchock
  • Włoszczowa
  • Zawichost
  • Barczewo
  • Bartoszyce
  • Biała Piska
  • Biskupiec
  • Bisztynek
  • Braniewo
  • Dobre Miasto
  • Działdowo
  • Elbląg
  • Ełk
  • Frombork
  • Giżycko
  • Gołdap
  • Górowo Iławeckie
  • Iława
  • Jeziorany
  • Kętrzyn
  • Kisielice
  • Korsze
  • Lidzbark
  • Lidzbark Warmiński
  • Lubawa
  • Mikołajki
  • Miłakowo
  • Miłomłyn
  • Młynary
  • Morąg
  • Mrągowo
  • Nidzica
  • Nowe Miasto Lubawskie
  • Olecko
  • Olsztyn
  • Olsztynek
  • Orneta
  • Orzysz
  • Ostróda
  • Pasłęk
  • Pasym
  • Pieniężno
  • Pisz
  • Reszel
  • Ruciane-Nida
  • Ryn
  • Sępopol
  • Susz
  • Szczytno
  • Tolkmicko
  • Węgorzewo
  • Zalewo
  • Bojanowo
  • Borek Wielkopolski
  • Buk
  • Chodzież
  • Czarnków
  • Czempiń
  • Czerniejewo
  • Dąbie
  • Dobra
  • Dolsk
  • Gniezno
  • Golina
  • Gołańcz
  • Gostyń
  • Grabów nad Prosną
  • Grodzisk Wielkopolski
  • Jarocin
  • Jastrowie
  • Jutrosin
  • Kalisz
  • Kępno
  • Kleczew
  • Kłecko
  • Kłodawa
  • Kobylin
  • Koło
  • Konin
  • Kostrzyn
  • Kościan
  • Koźmin Wielkopolski
  • Kórnik
  • Krajenka
  • Krobia
  • Krotoszyn
  • Krzywiń
  • Krzyż Wielkopolski
  • Książ Wielkopolski
  • Leszno
  • Luboń
  • Lwówek
  • Łobżenica
  • Margonin
  • Miejska Górka
  • Międzychód
  • Mikstat
  • Miłosław
  • Mosina
  • Murowana Goślina
  • Nekla
  • Nowe Skalmierzyce
  • Nowy Tomyśl
  • Oborniki
  • Obrzycko
  • Odolanów
  • Okonek
  • Opalenica
  • Osieczna
  • Ostroróg
  • Ostrów Wielkopolski
  • Ostrzeszów
  • Piła
  • Pleszew
  • Pniewy
  • Pobiedziska
  • Pogorzela
  • Poniec
  • Poznań
  • Przedecz
  • Puszczykowo
  • Pyzdry
  • Rakoniewice
  • Raszków
  • Rawicz
  • Rogoźno
  • Rychwał
  • Rydzyna
  • Sieraków
  • Skoki
  • Słupca
  • Sompolno
  • Stawiszyn
  • Stęszew
  • Sulmierzyce
  • Swarzędz
  • Szamocin
  • Szamotuły
  • Ślesin
  • Śmigiel
  • Śrem
  • Środa Wielkopolska
  • Trzcianka
  • Trzemeszno
  • Tuliszków
  • Turek
  • Ujście
  • Wągrowiec
  • Wieleń
  • Wielichowo
  • Witkowo
  • Wolsztyn
  • Wronki
  • Września
  • Wyrzysk
  • Wysoka
  • Zagórów
  • Zbąszyń
  • Zduny
  • Złotów
  • Żerków
  • Barlinek
  • Barwice
  • Białogard
  • Biały Bór
  • Bobolice
  • Borne Sulinowo
  • Cedynia
  • Chociwel
  • Chojna
  • Choszczno
  • Czaplinek
  • Człopa
  • Darłowo
  • Dębno
  • Dobrzany
  • Drawno
  • Drawsko Pomorskie
  • Dziwnów
  • Golczewo
  • Goleniów
  • Gryfice
  • Gryfino
  • Ińsko
  • Kalisz Pomorski
  • Kamień Pomorski
  • Karlino
  • Kołobrzeg
  • Koszalin
  • Lipiany
  • Łobez
  • Maszewo
  • Mieszkowice
  • Międzyzdroje
  • Mirosławiec
  • Moryń
  • Myślibórz
  • Nowe Warpno
  • Nowogard
  • Pełczyce
  • Płoty
  • Polanów
  • Police
  • Połczyn-Zdrój
  • Pyrzyce
  • Recz
  • Resko
  • Sianów
  • Sławno
  • Stargard Szczeciński
  • Suchań
  • Szczecin
  • Szczecinek
  • Świdwin
  • Świnoujście
  • Trzcińsko-Zdrój
  • Trzebiatów
  • Tuczno
  • Wałcz
  • Węgorzyno
  • Wolin
  • Złocieniec
Używamy plików cookies, aby zapewnić poprawne działanie strony i dopasowanie jej do Twoich potrzeb.
Witaj w serwisie internetowym MIRO

Strona MIRO zawiera treści i materiały przeznaczone dla osób zajmujących się profesjonalną opieką medyczną.

Strona MIRO zawiera treści i materiały przeznaczone
dla osób zajmujących się profesjonalną opieką medyczną.
Produkt został dodany do koszyka.